
同一天,两位38岁的父亲因急性心梗被送进医院,且都发生在剧烈运动后。一位陪孩子打了10分钟羽毛球,另一位则陪孩子爬了一次山。

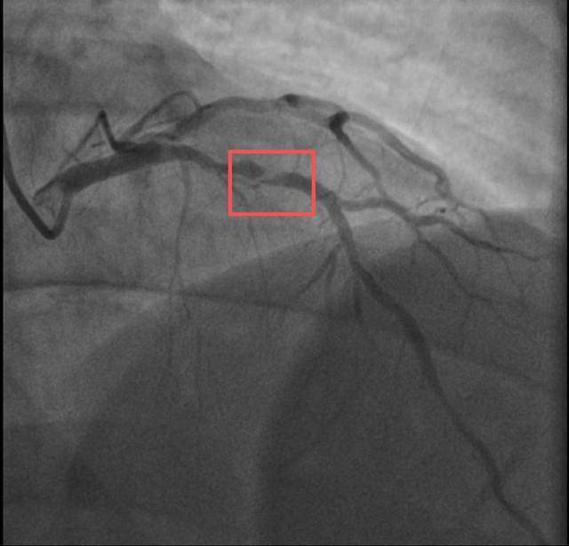
孙先生是一位羽毛球教练,身高173厘米,体重约90公斤。一年前,他因胸闷就诊,被查出心脏右冠中段、远端钙化斑块,以及前降支中段60%狭窄。尽管没有三高的危险因素,但可能有早发冠心病家族史。孙先生坚信通过运动瘦身可以扭转健康状况,因此拒绝了介入治疗,仅接受药物治疗。一年内,他的体重从96公斤减到了90公斤左右。然而,近期他在陪孩子打羽毛球时,亲自上场挥杆仅10分钟左右,就因心前区剧烈绞痛被送进了急诊。浙江医院心血管内科副主任汤益民主任医师分析,剧烈运动导致孙先生心脏的不稳定斑块破裂,造成前降支近段次全闭塞。所幸送医及时,经过紧急介入治疗,孙先生的身体险情被成功化解。

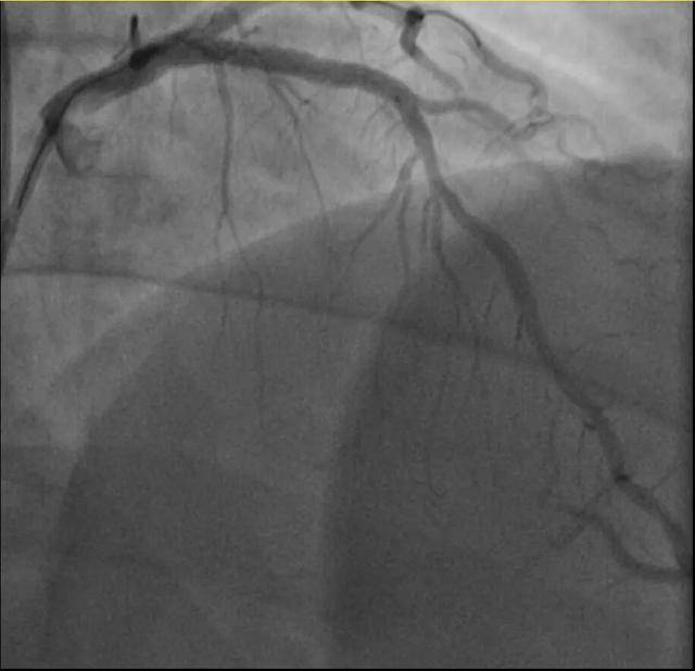
同一天,钱先生也有类似遭遇。他平时身体不错,只是血糖偏高,服药后控制不佳。周末,他和孩子爬了一座山,隔天就因突发胸骨中段压榨性疼痛被送到了急诊,最终被证实是心梗——心脏回旋支远段次全闭塞。来院时,钱先生的血糖为12.79mmol/L(正常空腹值应在3.9~6.1mmol/L),甘油三酯也超标。三高(高血压、高血脂、高血糖)是导致动脉粥样硬化的主要危险因素。在冠状动脉粥样硬化早期,血管狭窄可能并不严重,但在运动或情绪激动等情况下,心肌耗氧量增加,可能导致心梗等急性心肌缺血事件。经过汤益民团队的及时介入治疗,钱先生也转危为安。

很多人知道,长期规律、适度的运动是预防心血管疾病的有效方式之一。但对于已有潜在心脏问题或高危因素的人群,突然、剧烈的运动却可能成为急性心肌梗死的“导火索”。新闻中,猝然倒在羽毛球场、足球场及篮球场等激烈运动场合的中青年人并不少见。浙江医院心血管内科副主任杜常青主任医师解释,剧烈运动主要通过三种机制诱发心肌梗死:斑块破裂、心肌氧供需失衡、冠状动脉痉挛。前文提到的两个38岁父亲突发心梗,都可能与剧烈运动后心肌供血不足、不稳定斑块破裂相关。
日常生活中,大家应该如何预防剧烈运动诱发的心梗?首先,建议每年进行常规体检,包括血脂、血糖、血压、心电图检查。对于有家族心脏病史、长期吸烟、熬夜、肥胖以及合并血脂、血糖、血压等高危因素者,建议到心血管内科专科评估,必要时完善心脏超声、运动负荷试验、冠脉CTA等心脏结构与功能评估,提前发现隐藏的心血管问题。其次,对于长期久坐或缺乏规律运动者,在开展高强度运动前,可做运动负荷试验,判断心脏对运动的适应能力,避免盲目挑战超出身体承受范围的运动。此外,科学规划运动方案也很重要。遵循“循序渐进”原则,从低强度运动开始,每周逐步增加运动量,避免突然进行大强度、长时间运动。运动前后做好准备,运动前花5~10分钟热身,活动关节、激活心肺,避免血管和心脏突然受刺激;运动后不要立刻停下,通过慢走、拉伸等方式平稳降心率,减少冠脉痉挛风险。最后,规避危险运动场景,避免在高温高湿、寒冷大风环境下长时间剧烈运动;熬夜、过度疲劳、饮酒、感冒后24小时内不进行高强度运动;运动中或运动后若出现胸闷、心悸、头晕等不适,立即停止并休息,症状不缓解需及时就医。
策略赢配资提示:文章来自网络,不代表本站观点。